文献解读|Food Chem Toxicol(5.572):双酚A暴露通过抑制雄性小鼠海马体线粒体氧化磷酸化降低学习能力
✦ +
+
论文ID
原名:Bisphenol A exposure decreases learning ability through the suppression of mitochondrial oxidative phosphorylation in the hippocampus of male mice
译名:双酚A暴露通过抑制雄性小鼠海马体线粒体氧化磷酸化降低学习能力
期刊:Food and Chemical Toxicology
影响因子:5.572
发表时间:2022.5.20
DOI号:10.1016/j.fct.2022.113167
背 景
双酚A(BPA)是一种干扰内分泌系统的化学物质,广泛用作医疗设备制造业和食品加工业。在日常生产使用过程中,BPA可渗透到家庭环境、水和食品中,人类不可避免地通过吸入和皮肤接触以及受污染的水和食物而增加BPA的暴露风险。研究表明,BPA暴露对各种器官系统的异常具有永久和不可逆的影响,包括免疫、神经系统、心血管、肾脏和生殖系统等。但是,BPA影响学习能力的深层机制尚不清楚。海马体是大脑中与学习和记忆有关的重要区域,BPA对动物海马体的损伤作用尚缺乏研究。因此,本研究通过转录组测序,探究BPA暴露对雄性小鼠海马体转录组的影响,以阐明BPA影响小鼠学习认知能力的分子机制。
实验设计

结 果
01

堆肥木屑的理化特征
在野外试验中,通过总移动距离评价动物的运动活动。相反,动物的探索行为则是通过进入试验区域的次数、花费的时间和移动到中心区域的距离来评估的。各组小鼠在总移动距离和中心区域内移动距离方面无显著差异(图1A,C)。和对照组相比,H组小鼠花费时间更少,M组和H组小鼠进入中心区域的次数也更少(图1B,D)。为了评价小鼠的认知功能,各组小鼠进入八臂迷宫测试空间记忆能力。和对照组相比,H组小鼠在第2次、第3次和第7次测试时的参考记忆错误次数增加,随着测试次数的增多,错误次数呈现下降趋势(图1E)。和对照组相比,H组的工作记忆错误次数在第7次和第9次时也显著增加(图1F)。这表明BPA影响了小鼠的行为和学习认知能力。

图1 BPA对小鼠行为的影响
02

BPA对摄食量、饮水量、体重和脏器系数的影响
BPA处理组和对照组之间的摄食量、饮水量、体重和海马体器官系数均无显著差异(数据未提供)。
03

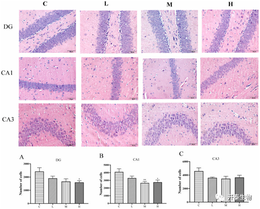
海马体组织学变化
海马体由齿状回(DG)和海马区(CA)构成,其中海马区分为4个锥体细胞区,即CA1-CA4。对照组小鼠的DG、CA1和CA3区的细胞排列规则且致密,但是H组小鼠的DG区域内神经细胞数量减少(图2A),同时M组和H组小鼠DG区域内神经细胞呈现不规则且松散排列(图2B),CA3区域内神经细胞数量无显著变化(图2C)。

图2 BPA对小鼠海马体的组织形态学影响
04

BPA对雌二醇和睾酮的影响
与对照组相比,BPA在较高剂量下可显著降低睾酮浓度(图3A)。M组和H组小鼠的雌二醇浓度显著增加(图3B),因此,雌二醇/睾酮的比值呈剂量依赖性降低(图3C)。

图3 BPA对雌二醇和睾酮的影响
05

差异表达基因(DEGs)分析
转录组测序数据表明,各组间样本的重复性高,相关分析表明R2>0.9(图4A)。和对照组相比,L组共鉴定到3309个DEGs,其中1569个上调,1740个下调;M组共鉴定到1796个DEGs,其中828个上调,968个下调;H组共鉴定到1055个DEGs,其中502个上调,553个下调(图4B-D)。各组间DEGs的Venn图如图4E所示。

图4 各组间DEGs分析
06

GO和KEGG分析
由于在野外试验和八臂迷宫测试中,与对照组相比,高剂量BPA(H组)对小鼠的探索能力和认知能力的影响更为显著。因此,选择H组和对照组之间的DEGs用于GO和KEGG分析。聚类分析展示了对照组和H组之间DEGs表达趋势(图5A)。GO分析表明,DEGs最显著富集的生物过程(BP)、细胞组分(CC)和分子功能(MF)分别为对病毒的防御、核糖体亚基和核糖体结构组分,DEGs还显著富集到NADH脱氢酶活性、物质运动偶联的ATP酶活性和作用于醌和NAD(P)H的氧化还原酶活性等与氧化磷酸化(OXPHOs)过程相关的类目(图5B)。在KEGG分析中,显著富集的通路是阿尔茨海默病(AD)、产热作用、核糖体、亨廷顿病(HD)、OXPHOs和帕金森病(PD)等(图5C)。与学习记忆相关的信号通路有AD、PD和HD,三种通路中有16个基因是重叠的(图5D)。

图5 DEGs的GO和KEGG分析
07

OXPHOs通路中的DEGs分析
一共23个DEGs显著富集到OXPHOs通路,其中16个DEGs与AD、PD和HD通路中的DEGs(定义为神经系统紊乱DEGs)重叠(图6A,B)。这些结果提示OXPHOs的变化可能与BPA诱发神经系统紊乱共病症(小鼠学习和记忆能力下降)的过程有关(图1)。

图6 OXPHOs通路中的DEGs分析
08

RT-qPCR验证
为验证测序数据的准确性,选择9个和海马体认知能力有关的DEGs (Ndufa3、Ndufb10、Ndufs8、Uqcrh、Uqcrb、Cox6b1、Cox7b、Cox7c和ATP5G1) 进行RT-qPCR验证,结果和测序数据一致,表明测序数据的准确性(图7)。

图7 RT-qPCR验证
09

Ndufb10蛋白表达分析
从图6B中预测Ndufb10的log2|FC|值的更大,因此对其进行WB验证。和对照组相比,H组Ndufb10蛋白表达显著下降(图8A),这和测序数据及RT-qPCR检测结果一致。

图8 Ndufb10蛋白表达及OXPHOs呼吸链复合物活性分析
A中的1、2、3和4分别代表对照组、L组、M组和H组
10

BPA对OXPHOs呼吸链复合物活性的影响
为了研究OXPHOs在BPA降低小鼠学习记忆能力中的作用,作者测定了线粒体呼吸链中4种复合物的活性。和对照组相比,M组和H组的复合物I(NADH-CoQ氧化还原酶)、复合物Ⅲ(辅酶Q-细胞色素C氧化酶)、复合物Ⅳ(细胞色素C氧化酶)和复合物Ⅴ(ATP酶/ATP合酶)的活性显著降低(图8B-E)。这表明BPA可以损害海马体组织线粒体OXPHOs过程,从而造成能量代谢异常和认知功能缺陷。
+ + + + + + + + + + +
结 论
综上所述,本研究表明BPA诱导认知功能下降可能与海马体线粒体OXPHOs相关基因和蛋白水平的改变有关,研究结果为进一步理解BPA发挥神经毒性的分子机制和信号通路提供了新的理论基础和研究方向。
+ + + + +



English

