文献解读|Circ Res(23.213):组蛋白乳酸化修饰促进心肌梗死后修复基因的激活
✦ +
+
论文ID
原名:Histone Lactylation Boosts Reparative Gene Activation Post-Myocardial Infarction
译名:组蛋白乳酸化修饰促进心肌梗死后修复基因的激活
期刊:CIRCULATION RESEARCH
影响因子:23.213
发表时间:2022.11.11
DOI号:10.1161/CIRCRESAHA.122.320488
背 景
心肌梗死 ( MI) 后的炎症消退以及心脏修复的启动需要修复信号的及时激活。组蛋白乳酸化通过转录调节可使巨噬细胞中稳态基因表达。然而,组蛋白乳酸化在MI后修复反应中的作用机制仍不清楚。我们的目的是研究组蛋白乳酸化是否诱导MI后单核细胞中修复基因的表达。
实验设计

结 果
01

MI早期修复基因在单核细胞中激活
从MI小鼠的不同时间点取骨髓和循环白细胞进行单细胞RNA-seq分析。广泛定义了5种主要的细胞类型,最后将注意力转向单核细胞(图1 A-C)。GO富集分析表明单核细胞群主要在心肌梗死后的第一天发挥作用,这表明单核细胞除了上调和放大心肌梗死后的炎症反应外,还能迅速启动修复过程(图1 D-J)。

图1 心肌梗死后骨髓和单核细胞修复基因的早期激活。
A-G,MI小鼠骨髓和外周血单核细胞单细胞测序;H-J,MI第1天外周血单核细胞RNA-seq测序。
02

MI单核细胞中组蛋白乳酸化水平迅速升高
免疫印迹表明MI小鼠单核细胞的整体乳酸化水平显著升高(图2 A-B)。在MI后4至72小时,乳酸水平持续显著上调,相反,乙酰化水平持续下降到基线水平(图2 C-F)。免疫荧光染色显示H3K18la水平和整体乳酸化呈现相同趋势(图2 G-L)。

图2 MI后单核细胞中组蛋白乳酸化水平升高。
A-B,MI小鼠单核细胞乳酸化水平;C-F,MI小鼠不同时间段单核细胞乳酸化和乙酰化水平;K-L,MI小鼠单核细胞H3K18la和H3K18ac变化。
03

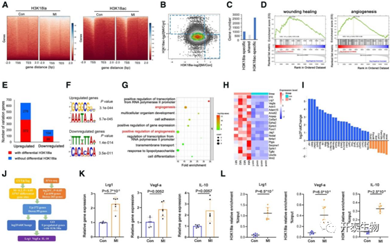
组蛋白乳酸化促进修复基因激活
筛选组蛋白乳酸化候选靶基因,使用H3K18la、H3K18ac抗体对单核细胞进行CUT&Tag检测,数据显示H3K18la富集在基因的启动子区域(图3 A),这些基因中只有14%的基因同时显示H3K18la和H3K18ac显著增加(图3 B-C)。此外,基因集富集分析显示H3K18la结合的基因在很大程度上与血管生成和伤口愈合相关,并且上调的基因积极参与血管生成的正向调控(图3 D-I)。最后将Vegf-a、IL-10和Lrg1作为乳酸化的潜在靶基因(图3 J-L)。

图3 MI后H3K18la启动修复基因表达。
A,单核细胞中H3K18la和H3K18ac结合峰热图;B-G,结合基因集富集分析;H,血管生成途径中代表性基因表达热图;I-L,H3K18la下游靶点筛选。
04

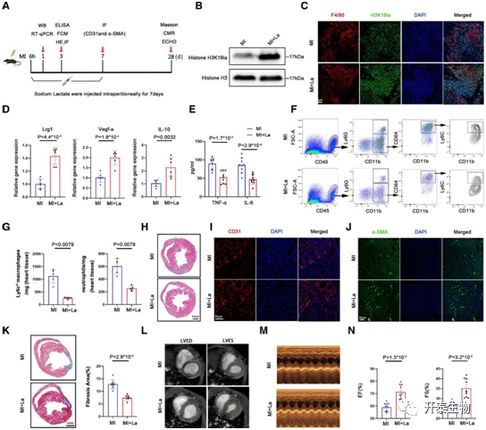
MI后组蛋白乳酸化升高有利于修复环境并改善心功能
MI小鼠模型使用乳酸盐治疗,单核细胞和巨噬细胞中H3K18la水平显著升高(图4 B-C),Lrg1、Vegf-a和IL-10 mRNA水平升高(图4 D),但是炎症因子IL-6和TNF-α的表达受阻(图4 E-H)。乳酸盐诱导的H3K18la水平升高促进了MI后的血管生成和心脏重塑(图4 I-N)。

图4 H3K18la升高促进MI后心肌修复。
A-D,MI小鼠模型使用乳酸盐治疗H3K18la、Lrg1、Vegf-a和IL-10 mRNA水平升高;E-H,炎症浸润受阻;I-N,MI后血管生成和心脏重塑。
05

MI后单核细胞内源性糖酵解重编程参与调控H3K18la
MI后 1天用细胞外通量分析仪测量单核细胞的主要代谢参数,发现MI小鼠单核细胞具有较高的基础细胞外酸化率和较高的糖酵解储备,表明具有较高的糖酵解代谢能力。耗氧率测量显示,MI小鼠单核细胞的基础氧化磷酸化和备用呼吸能力下降,表明MI后单核细胞更依赖糖酵解(图5 A-D)。
使用鱼藤酮(线粒体呼吸链复合物I抑制剂)处理24小时后,细胞内乳酸和H3K18la水平显著升高(图5 H-I),并且显著提高了Lrg1、Vegf-a和IL-10的表达和乳酸化修饰(图5 F-G)。
使用二氯乙酸钠(丙酮酸脱氢酶激酶抑制剂)处理后细胞内乳酸和H3K18la水平降低,重新添加乳酸成功地恢复了细胞内乳酸、H3K18la水平和修饰基因的表达(图5 J-M)。

图5 代谢重编程调节单核细胞中的H3K18la水平。
A-D,MI小鼠单核细胞基础细胞外酸化率和耗氧率测量;F-I,鱼藤酮处理细胞后,细胞内乳酸、H3K18la水平和修饰基因的表达;J-M,二氯乙酸钠处理细胞后的变化。
+ + + + + + + + + + +
结 论
组蛋白乳酸化促进MI后早期单核细胞修复性转录反应的远程激活,这对于建立免疫稳态和MI后心脏修复过程的及时激活至关重要。
+ + + + +



English

